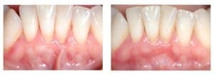
Lower Labial Frenulectomy
Write a Review
1355 Beverly Rd, Suite 210McLean, VA 22101
Click here for Office Hours
Voted Top Periodontist from 2006-2023 as published in the Washingtonian and Northern Virginia Magazines
Waterlase Dentistry
Accessibility Tools